Caroli's Disease
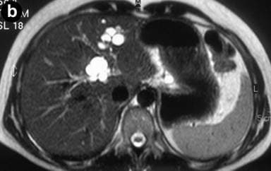
Caroli’s disease is a rare, inherited liver disorder. It causes cystic widening of the large bile ducts within the liver. How it affects the body The bile ducts become enlarged, which can impair bile flow and liver function. It may lead to bile stasis, infection, or formation of stones. Causes It is inherited and linked to abnormal embryonic development. Caroli’s disease is part of a group of fibrocystic liver disorders.

Patients served
Countries
Clinics
Experienced doctors
Your Benefits and Guarantees with Amedical
Experience a seamless and secure breast lift journey with Amedical.Transparent Prices and Flexible Installment Plans
No hidden fees — only official clinic prices. You can pay for your breast lift directly at the clinic upon arrival and use a flexible installment plan if needed.
Verified Clinics and Doctors Only
Amedical is fully committed to your safety. We cooperate exclusively with medical institutions that meet high international standards in breast lift procedures and are licensed to serve international patients.
Free 24/7 Support Service
Amedical provides free expert assistance. Your personal medical coordinator supports you before, during, and after your treatment, helping to resolve any issues. You are never alone on your breast lift journey.

Your personal AMedical medical coordinator
Supports you at every stage
Helps choose the right clinic and doctor
Ensures quick and convenient access to information
Loading clinics...
Our Trusted Doctors
Our doctors are highly skilled and experts in their fields.

PD Dr. med. Patrick Weber is a highly respected specialist in the implantation and revision of hip and knee endoprostheses. With extensive academic and surgical experience, he is recognized as one of Germany’s leading experts in modern joint replacement surgery. During his many years at the University Hospital of Munich (LMU) – Klinikum Großhadern, Dr. Weber served as Head of Hip Arthroplasty and Deputy Head of Knee Arthroplasty, gaining comprehensive expertise across the full spectrum of endoprosthetic surgery—including highly complex cases such as hip dysplasia and post-traumatic osteoarthritis. Expertise in Minimally Invasive Hip Replacement (AMIS) For many years, Dr. Weber has specialized in the minimally invasive, muscle-sparing implantation of hip prostheses using the AMIS method. He is internationally regarded as a reference surgeon and instructor for this advanced technique, which supports faster recovery and improved mobility. Another major focus of his work is the revision and replacement of existing hip and knee implants, particularly in cases of loosening, pain, or implant failure. Key Areas of Specialization Dr. Weber’s surgical expertise includes: Hip replacement surgery using the AMIS approach Knee replacement surgery, including unicondylar (partial) knee prostheses Implantation of hip and knee prostheses in complex anatomical situations, such as: Hip dysplasia Post-traumatic arthritis Revision arthroplasty (exchange of hip and knee prostheses) Conditions Treated Dr. Weber provides expert care for patients with: Coxarthrosis (hip osteoarthritis) Gonarthrosis (knee osteoarthritis) Painful or loosened endoprostheses Femoral head necrosis (avascular necrosis) Academic & International Recognition With more than 150 scientific publications and international lectures, PD Dr. Weber is a regularly invited speaker at leading national and global congresses focused on joint replacement and endoprosthetics. His combination of surgical precision, minimally invasive expertise, and academic leadership makes him a trusted authority in advanced hip and knee arthroplasty.

Director of the Hip Center – ATOS Clinic Munich The Hip Center at ATOS Clinic Munich is led by Dr. med. Raimund Völker, a founding member of the clinic and one of the most experienced specialists in hip endoprosthetics worldwide. Dr. Völker is among the very few internationally recognized surgeons who exclusively dedicate their practice to hip surgery. This exceptional level of specialization provides significant advantages for patients, allowing for highly precise treatment planning, advanced surgical expertise, and consistently outstanding outcomes. With over 20 years of experience in both standard hip replacement and bone-preserving hip resurfacing, Dr. Völker offers each patient the most suitable procedure based on individual anatomy, lifestyle, and long-term goals. Excellence in Hip Arthroplasty & Implant Quality Unlike standard approaches that rely on routine implants, Dr. Völker uses only high-quality, long-established original prosthetic systems at ATOS Clinic. This ensures: Maximum implant durability Long-term safety Excellent functional results His philosophy combines proven methods with innovation to provide the best possible joint replacement strategy for every patient. Minimally Invasive & Muscle-Sparing Surgery Dr. Völker applies modern surgical techniques that are: Minimally invasive Muscle-sparing Bone-conserving These approaches support faster recovery, improved mobility, and enhanced joint stability. Together with individualized implant selection and early intensive physiotherapy, patients benefit from an optimized Fast Track Recovery program. Key Areas of Expertise & Procedures Dr. Völker’s clinical focus includes: Diagnosis and treatment of hip osteoarthritis and its causes Advanced cartilage treatment options, including MRI-based cartilage cell therapy Total hip replacement (total endoprosthesis) Hip resurfacing surgery following the McMinn method (BHR) Short-stem hip prostheses Minimally invasive hip replacement techniques Enhanced Recovery Programs (ERP) Computer-assisted navigation for surgical precision

Specialist in orthopaedics and accident surgery, sports medicine Medical Director ATOS Clinic Munich Prof. Dr. med. Mark Tauber provides the entire spectrum of modern shoulder surgery. His main focus is on the minimally invasive treatment of upper arm head fractures and the arthroscopic treatment of shoulder pathologies Range of Services: Implantation and replacement of shoulder prostheses Arthroscopic suture of the rotator cuff Revisions after failed rotator cuff rupture Care of upper arm head fractures and long-term consequences Arthroscopic and open shoulder stabilisation after dislocation Dislocations of the shoulder joint Early osteoarthritis of the shoulder, cartilage regeneration Calculus shoulder Frozen shoulder
Related Articles
Stay informed with our latest medical insights and health tips

Heart Valve Replacement In Turkey (Costs, Clinics & Surgeons)
This article delves into the specifics of heart valve replacement surgery in Turkey, covering the cost, renowned clinics, and proficient doctors. Explore further to learn about the advantages of under...

Deep Brain Stimulation in Turkey: A Complete Guide for 2026
Deep Brain Stimulation in Turkey offers advanced, cost-effective treatment for Parkinson’s, dystonia, and essential tremor. With internationally accredited surgeons, 70%+ success rates, and all-inclus...

Best Countries for Knee Replacement Surgery Abroad
Patients frequently seek knee replacement abroad due to cost differences, limited access in their home countries, or the need for timely intervention. The growing demand for affordable and safe joint ...
Country Treatment
Find the best treatment options available in your country.
Get a free consultation
Talk to our experts and discover the best solution for your needs completely free of charge.
